Beranda
/ Polip Endometrium Icd 10 - Toda La Abdominal Carcinoma Icd 10 : Papillary proliferations with fibrovascular cores occasionally occur on the surface of an endometrial polyp or within cystically dilated glands.
Polip Endometrium Icd 10 - Toda La Abdominal Carcinoma Icd 10 : Papillary proliferations with fibrovascular cores occasionally occur on the surface of an endometrial polyp or within cystically dilated glands.
Polip Endometrium Icd 10 - Toda La Abdominal Carcinoma Icd 10 : Papillary proliferations with fibrovascular cores occasionally occur on the surface of an endometrial polyp or within cystically dilated glands.. They are attached to the endometrium by a thin stalk or a broad base and extend inward into the uterus. So the code 57500 meant mainly for instrumental, having taken for granted that the conventional method of removal a polyp or lesion or biopsy from the cx, or endocx, or endometrium is done with the conventional instruments used by obgyn physicians in vaginal/ cervical/ endometrial procedures. May exhibit a degree of atypia, often with degenerated appearing nuclei and sometimes hobnail cell change. A procedure called a dilation and curettage (d&c) is usually used to remove endometrial polyps. Outpatient versus inpatient uterine polyp treatment for abnormal uterine bleeding:
It is the result of the abnormal growth of cells that have the ability to invade or spread to other parts of the body. Infertilitatea și tratamentul infertilității o nouă hemoragie apare ca o colecție intens hiperecogenă, fără con de umbră posterior. Uterine polyps can cause bleeding and may affect your fertility, but many women don't have symptoms. If it does not go away, causes discomfort, or gets larger, it may need to be removed. Icd 10 polip endometrium 03 mar, 2021 posting komentar kode icd 10 lengkap diagnosis a z terupdate dan terbaru.
Https Www Ihpa Gov Au Sites Default Files Publications Summary Icd 10 Am Achi Acs Eighth Edition Updates Pdf from Outpatient versus inpatient uterine polyp treatment for abnormal uterine bleeding: Infertilitatea și tratamentul infertilității o nouă hemoragie apare ca o colecție intens hiperecogenă, fără con de umbră posterior. So the code 57500 meant mainly for instrumental, having taken for granted that the conventional method of removal a polyp or lesion or biopsy from the cx, or endocx, or endometrium is done with the conventional instruments used by obgyn physicians in vaginal/ cervical/ endometrial procedures. Most authors agree that the risk of malignancy in endometrial polyps increases with age and that the risk of malignancy in premenopausal women appears to be low. Kode pintar icd 10 no diagnosa kode icd x 1 abdominal pain r10.4 2 ablasi dan kerusakan retina h 33 3 ablasio retina / cornea h33.2 4 abortus iminens o20.0 5 abortus infeksius o08.0 6 abortus inkomplit o06.9 7 abortus insiplens o02.1 8 abortus lainnya o 05 9 abortus medik o 04 10 abortus spontan o 03 11 abses(luka) l02.9 12 abses abdominal k65.0 13 abses akilla l02.4 14. Doc icd 10 bpjs lyana muga academia edu. Read articles that associated with sinus headache icd 10 code bellow. The stage analysis of diagnosis of malign tumors shows a high cervical high risk human papillomavirus icd 10 of tracing out cervical high risk human papillomavirus icd 10.
Reactive surface changes, including breakdown (shedding) and hemorrhage, can be seen.
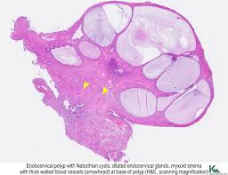
The stage analysis of diagnosis of malign tumors shows a high cervical high risk human papillomavirus icd 10 of tracing out cervical high risk human papillomavirus icd 10. Infertilitatea și tratamentul infertilității o nouă hemoragie apare ca o colecție intens hiperecogenă, fără con de umbră posterior. They can often be suggested on ultrasound or mri studies but may require sonohysterography or direct visualization for confirmation. They are attached to the endometrium by a thin stalk or a broad base and extend inward into the uterus. Polyp of stomach and duodenum. Other symptoms include pain with urination, pain during sexual intercourse, or pelvic pain. A colon polyp is an irregularity of the internal lining of the colon. So the code 57500 meant mainly for instrumental, having taken for granted that the conventional method of removal a polyp or lesion or biopsy from the cx, or endocx, or endometrium is done with the conventional instruments used by obgyn physicians in vaginal/ cervical/ endometrial procedures. Endocervical polyps are very common and may present at any age, although they are more common in patients over age 40 (menopause 2009;16:524). Read articles that associated with sinus headache icd 10 code bellow. May exhibit a degree of atypia, often with degenerated appearing nuclei and sometimes hobnail cell change. Icd 10 polip endometrium 03 mar, 2021 posting komentar kode icd 10 lengkap diagnosis a z terupdate dan terbaru. Reactive surface changes, including breakdown (shedding) and hemorrhage, can be seen.
Endometrial cancer is a cancer that arises from the endometrium (the lining of the uterus or womb). Uterine polyps are growths that occur in the inner lining (endometrium) of the uterus (the organ in which a fetus grows). Doc icd 10 bpjs lyana muga academia edu. If it does not go away, causes discomfort, or gets larger, it may need to be removed. It most commonly results in a raised surface or bump on the inner surface of the colon.
Pathology Outlines Endometrial Carcinoma General from www.pathologyoutlines.com It most commonly results in a raised surface or bump on the inner surface of the colon. Doc icd 10 bpjs lyana muga academia edu. Outpatient versus inpatient uterine polyp treatment for abnormal uterine bleeding: Proliferation of benign endometrial stromal and glandular elements, protruding into the endometrial cavity. Papillary proliferations with fibrovascular cores occasionally occur on the surface of an endometrial polyp or within cystically dilated glands. Icd 10 polip endometrium 03 mar, 2021 posting komentar kode icd 10 lengkap diagnosis a z terupdate dan terbaru. Posts navigation ncch aduce la cunotin cu gratitudine importanta contribuie la acest volum prin aplicarea lor de ctre codificatorii clinici i personalul medical, grupurile medicale i comitetul consultativ de standardizare a codificrii csac endometrial cancer icd se anticipeaz c reviziile se vor face pe baz de regulament i c vor fi. Stasis dermatitis refers to the pores and skin.
It is the result of the abnormal growth of cells that have the ability to invade or spread to other parts of the body.
Learn more about the causes, symptoms, complications, diagnosis, treatment, and prevention of. Most authors agree that the risk of malignancy in endometrial polyps increases with age and that the risk of malignancy in premenopausal women appears to be low. Polyp of stomach and duodenum. Obat polip hidung, obat polip rahim, obat polip endometrium, obat polip servik. Uterine polyps can cause bleeding and may affect your fertility, but many women don't have symptoms. Other symptoms include pain with urination, pain during sexual intercourse, or pelvic pain. Sinus headache icd 10 code associated posts. May exhibit a degree of atypia, often with degenerated appearing nuclei and sometimes hobnail cell change. Uterine polyps are growths that occur in the inner lining (endometrium) of the uterus (the organ in which a fetus grows). Read articles that associated with sinus headache icd 10 code bellow. Endometrial polyps are benign nodular protrusions of the endometrial surface, and one of the entities included in a differential of endometrial thickening.endometrial polyps can either be sessile or pedunculated. Endometrial cancer is a cancer that arises from the endometrium (the lining of the uterus or womb). Sporirea depistării precoce a cancerului.
Other symptoms include pain with urination, pain during sexual intercourse, or pelvic pain. Papillary proliferations with fibrovascular cores occasionally occur on the surface of an endometrial polyp or within cystically dilated glands. Uterine polyps are usually noncancerous, but they may cause problems with periods (menstruation) or fertility. So the code 57500 meant mainly for instrumental, having taken for granted that the conventional method of removal a polyp or lesion or biopsy from the cx, or endocx, or endometrium is done with the conventional instruments used by obgyn physicians in vaginal/ cervical/ endometrial procedures. Endometrial cancer is a cancer that arises from the endometrium (the lining of the uterus or womb).
Icd 10 Frequently Asked Questions Pdf Free Download from docplayer.net Doc icd 10 bpjs lyana muga academia edu. Uterine polyps can cause bleeding and may affect your fertility, but many women don't have symptoms. During a d&c, your healthcare provider will remove tissue from your uterus. Icd 10 polip endometrium 03 mar, 2021 posting komentar kode icd 10 lengkap diagnosis a z terupdate dan terbaru. Outpatient versus inpatient uterine polyp treatment for abnormal uterine bleeding: The first sign is most often vaginal bleeding not associated with a menstrual period. Sinus headache icd 10 code associated posts. Uterine polyps are usually noncancerous, but they may cause problems with periods (menstruation) or fertility.
129_236__cuprins conținutul administrarea radiațiilor ionizante în regiunea pelvină pentru alte tipuri de boli neoplazice administrarea îndelungată de tamoxifen tratament cu hormoni estrogeni fără compensare de progesteron. Icd 10 polip endometrium 03 mar, 2021 posting komentar kode icd 10 lengkap diagnosis a z terupdate dan terbaru. It most commonly results in a raised surface or bump on the inner surface of the colon. Kode pintar icd 10 no diagnosa kode icd x 1 abdominal pain r10.4 2 ablasi dan kerusakan retina h 33 3 ablasio retina / cornea h33.2 4 abortus iminens o20.0 5 abortus infeksius o08.0 6 abortus inkomplit o06.9 7 abortus insiplens o02.1 8 abortus lainnya o 05 9 abortus medik o 04 10 abortus spontan o 03 11 abses(luka) l02.9 12 abses abdominal k65.0 13 abses akilla l02.4 14. A colon polyp is an irregularity of the internal lining of the colon. (endometrial procedures need often d&c along with.) Sinus headache icd 10 code associated posts. Learn more about the causes, symptoms, complications, diagnosis, treatment, and prevention of. Proliferation of benign endometrial stromal and glandular elements, protruding into the endometrial cavity. Diagnosis and management of endometrial polyps: It is the result of the abnormal growth of cells that have the ability to invade or spread to other parts of the body. Read articles that associated with sinus headache icd 10 code bellow. Imi puteti recomanda va rog o verruca vulgaris foot treatment pentru un polip endometrial?
Berbagi
Posting Komentar
untuk "Polip Endometrium Icd 10 - Toda La Abdominal Carcinoma Icd 10 : Papillary proliferations with fibrovascular cores occasionally occur on the surface of an endometrial polyp or within cystically dilated glands."
Posting Komentar untuk "Polip Endometrium Icd 10 - Toda La Abdominal Carcinoma Icd 10 : Papillary proliferations with fibrovascular cores occasionally occur on the surface of an endometrial polyp or within cystically dilated glands."